Redacción Farmacosalud.com
En el marco del Congreso CardioTox 2025, celebrado en Madrid, la compañía Philips ha presentado Transcend Plus, la nueva generación de sus sistemas de ultrasonido cardiovascular EPIQ CVx y Affiniti CVx. “Transcend Plus marca un hito en la calidad de imagen y la automatización mediante Inteligencia Artificial (IA)”, asegura el responsable del negocio de ultrasonido en Philips Ibérica, Sergio García.
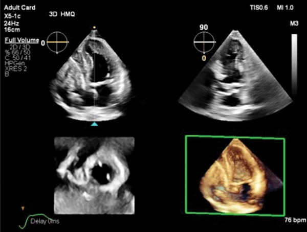
Esta actualización ofrece avances 2D y 3D recientemente aprobados por la FDA (Agencia del Medicamento de Estados Unidos). Con 26 aplicaciones de IA integradas —la mayor cantidad del sector—, la nueva herramienta permite a los equipos de cardiología trabajar de manera más eficiente y coherente, incluso en los casos clínicos más complejos.

Fuente: Royal Philips / Europa Press
Diagnósticos más precisos y una menor variabilidad entre operadores
Además, su nueva función 2D Auto EF Advanced amplía las capacidades de análisis automático de la función ventricular izquierda, proporcionando resultados rápidos, reproducibles y fiables. “Esto se traduce en diagnósticos más precisos, menor variabilidad entre operadores y una mayor confianza clínica, tanto en laboratorios hospitalarios como en consultas ambulatorias”, señala García.
El Congreso ha puesto el foco en cómo la medicina de precisión, la IA y la imagen avanzada están transformando el abordaje clínico de los pacientes onco-cardíacos. En un contexto en el que la supervivencia al cáncer aumenta pero también los riesgos cardiovasculares asociados a las terapias, la colaboración entre disciplinas médicas y tecnológicas se vuelve esencial.
Para García, la cardiotoxicidad “sigue siendo uno de los grandes retos en la atención oncológica moderna”. Gracias a las nuevas aplicaciones de Inteligencia Artificial integradas en los sistemas de la compañía, los especialistas pueden detectar alteraciones en la función cardíaca de forma temprana, incluso antes de que se manifiesten clínicamente, lo que permite adaptar los tratamientos y prevenir daños irreversibles.

Fuente: Royal Philips / Europa Press
Un algoritmo que reduce la radiación en procedimientos coronarios
Philips, además, lanza su solución SmartIQ, un algoritmo que consigue reducir la dosis de radicación y mejorar la calidad de la imagen en procedimientos coronarios. La nueva tecnología, que se está probando en el Hospital Clínico San Carlos de Madrid a través del ensayo RADIQAL que lidera el Dr. Javier Escaned, con el apoyo de la Dra. Nieves Gonzalo, presenta un protocolo de dosis ultrabaja para procedimientos coronarios que reduce la exposición a los rayos X hasta en un 50% en comparación incluso con el ajuste más bajo disponible actualmente en los sistemas Azurion con ClarityIQ de Philips.
Para la Dra. Gonzalo, cardióloga intervencionista, la entrada en funcionamiento de la nueva aplicación “favorece tanto a los profesionales como a los pacientes, ya que tenemos la posibilidad de obtener estudios diagnósticos o de tratamiento utilizando menos dosis de radiación y menos contraste”.

Fuente: Royal Philips / Europa Press




